人的性别究竟由何因素决定?身为女性,却欠缺女性特有的卵巢和孕育生命的子宫,这是什么原因?《新英格兰医学杂志》(NEJM)的麻省总医院病例栏目就刊登了这样一个病例。虽然该患者的诊疗过程非常顺利,但我们可以从中总结性发育异常疾病的诊治思路及对此类患者的全面评估方法。
阅读全文翻译,请访问《NEJM医学前沿》官网、APP或点击微信小程序图片。 病例陈述一名31岁的不育女性转诊至本院生育中心。患者16岁时,因原发性闭经接受了评估,被诊断为先天性无子宫和无卵巢。患者从未有月经不适或头痛、视力问题、溢乳、血管舒缩症状或运动耐量降低。
患者目前和她的丈夫住在郊区,并在办公室工作。她很少饮酒,每日吸3~5支香烟,未使用非法药物。患者母亲易于妊娠,并且在46岁时因子宫内膜异位症而接受了子宫切除术,而患者外祖父在70岁时死于心肌梗死。患者的父亲和两个姐妹都很健康;一个姐妹与患者异卵双生,并且月经规律。
体格检查:血压为118/74mmHg,体重为68.1 kg,身高为172.7 cm,体质指数为22.8 kg/m2。患者的体毛很少。盆腔检查显示,女性外生殖器正常,阴道长度和阴道褶正常;无异常阴道分泌物或盆腔器官脱垂的证据。无宫颈和子宫。左附件区域轻度饱满,无压痛或分离的肿块。其余体格检查正常。
盆腔超声检查证实无子宫和宫颈。未见右侧卵巢;右侧和左侧附件区域内有成簇的单纯性囊肿。风疹病毒IgG抗体和水痘带状疱疹病毒IgG抗体检测结果为阳性,乙型肝炎病毒表面抗原、人类免疫缺陷病毒1型和2型、丙型肝炎病毒、人类T淋巴细胞病毒1型和2型、梅毒和巨细胞病毒筛查试验结果均为阴性。全血细胞计数和白细胞分类计数正常;其他实验室检查结果见表1。采集血液样本用于测定抗苗勒管激素水平和染色体分析。
表1. 实验室数据
这名患有原发性闭经的31岁女性在16岁时被告知她没有子宫或卵巢。当她12岁时,她突然快速生长,乳房初发育和肾上腺功能初现均正常。体格检查时,身高为172.7 cm(>女性的第90百分位数),阴道长度正常,无子宫或宫颈。根据这些发现,她的基础疾病可能源于性分化异常。
为了提供关于鉴别诊断讨论的背景,让我们首先回顾性别分化的过程(图1)。性腺分化取决于Y染色体的存在与否,特别是SRY基因的表达,该基因位于Y染色体的短臂(Yp)。SRY表达介导未分化的性腺发育成睾丸。然后出现胎儿睾酮分泌,导致中肾管(wolffian duct)发育,最终形成典型的男性生殖器表型。
图1. 典型的性腺和表型性别分化
此外,胎儿睾丸的支持细胞分泌抗苗勒管激素,诱导苗勒管退化。在没有Y染色体(和SRY表达)并且存在两条完整的X染色体的情况下,出现雌性性腺和表型分化、卵巢发育、典型的女性生殖器表型,以及具有典型开始时间和持续时间的生殖功能。在这名患者中,性别分化的典型过程可能在哪一点上出了错呢?
XY基因型中的类固醇生成酶缺乏
在XY基因型的背景下参与早期类固醇生成的酶的缺乏,可导致类似于此患者中所见的临床表型。在17β-羟基类固醇脱氢酶缺乏症中,合成了雄烯二酮(一种弱雄激素),但未合成睾酮。由于胎儿未暴露于强效雄激素,所以不会出现典型的男性生殖器分化。然而,如果未切除睾丸,17β-羟基类固醇脱氢酶缺乏症患者通常在青春期出现男性化,在这名患者中未观察到这样的男性化。
缺乏P450c17(一种介导17α-羟化酶和17,20-裂解酶活性的酶复合物)将导致严重的胎儿雄激素缺乏。患有该病的患者在出生时具有女性外生殖器,此患者也是如此。然而,患有这种疾病的患者预计会在生命早期出现肾上腺危象,因为盐皮质激素合成会受损。P450c17较轻度的缺乏可导致青春期延迟、低钾血症和高血压。总体而言,由于该患者缺乏相关临床特征,因此可以排除这些类固醇生成酶缺乏。
XY完全性腺发育不全
此例的另外一个诊断考虑是XY完全性腺发育不全(称为Swyer综合征),该综合征是由于缺乏SRY基因或其产物引起的。当没有SRY时,睾丸也缺如,XY完全性腺发育不全患者具有条纹性腺,条纹性腺缺乏生殖细胞和内部苗勒结构,包括发育不全的子宫和宫颈。临床表现可能包括乳房发育、青春期和月经初潮的延迟。通常在出生时或儿童期做出诊断,并且由于相关的性腺癌风险,建议进行性腺切除。鉴于该患者子宫和宫颈缺如,可以排除XY完全性腺发育不全的诊断。
5α-还原酶缺乏症
此例还应考虑5α-还原酶缺乏症的诊断。5α-还原酶是一种将睾酮转化为二氢睾酮的酶,在XY基因型的背景下,二睾酮是外周组织中的主要活性激素,能够诱导雄性表型。5α-还原酶缺乏症患者出生时可能有女性生殖器,但由于睾酮水平高,生殖器通常性别不明。此外,在5α-还原酶缺乏症患者中,青春期可能出现男性化,但在该患者中未观察到这一改变。
睾丸间质细胞(Leydigcell)发育不全
睾丸间质细胞发育不全是由于在XY基因型的背景下使G蛋白偶联的黄体生成素受体失活突变引起。这种突变造成睾丸间质细胞产生胎儿雄激素缺陷,导致女性生殖器表型。然而,在睾丸间质细胞发育不全患者中,第二性征不会发育,不会出现青春期。鉴于该患者的乳房初发育和肾上腺功能初现正常,可以排除睾丸间质细胞发育不全。
苗勒管发育不全
苗勒管发育不全患者(称为Mayer-Rokitansky-Küster-Hauser综合征)具有XX基因型,缺乏苗勒管的所有衍生物(输卵管、子宫、宫颈和阴道上段),但有卵巢,并会经历青春期,乳房发育以及腋毛和阴毛生长的时间正常。这些患者为内分泌学上典型的女性,并且在出生时具有典型的女性外生殖器,但由于无子宫而闭经。在苗勒管发育不全1型(这是最常见的类型)中,仅生殖器官受到影响。苗勒管发育不良2型与身体其他部位的异常相关,例如肾脏或骨骼。在此例患者中,苗勒管发育不全是一个合理诊断,因为它可以解释在一名具有女性外生殖器、乳房初发育和肾上腺功能初现正常的患者中,子宫和宫颈的缺如。
雄激素不敏感综合征
此例的另一个诊断考虑因素是雄激素不敏感综合征。该综合征患者具有XY基因型和雄激素受体基因突变。雄激素与其受体结合后的细胞反应随突变而变化,因此临床表型可以是完全的或部分的。完全型雄激素不敏感综合征患者具有睾丸并分泌高水平的雄激素(特别是睾酮)。然而,由于缺乏有功能的雄激素受体,在子宫内或青春期后,对外周组织中的激素无反应。因此,中肾管不会发育。与此同时,由于支持细胞分泌抗苗勒激素,苗勒管会退化。因此,完全型雄激素不敏感综合征患者具有女性外生殖器,但无子宫、宫颈或阴道上段,并且患有隐睾症,睾丸位于腹腔内或处于腹股沟管内下行的各阶段。此外,由于芳香化酶能在外周将雄激素转化为雌激素,因此,此病患者会经历青春期和出现乳房发育,但几乎无腋毛或阴毛。相比之下,在部分型雄激素不敏感综合征患者中,在出生时外生殖器可能有些性别不明,并且在青春期可能出现部分男性化。此患者的临床特征符合完全型雄激素不敏感综合征。
总结
根据病史和检查结果,本例最可能的诊断是苗勒管发育不全或完全型雄激素不敏感综合征。在对实验室数据的评估中,低水平的FSH符合完全型雄激素不敏感综合征。在完全型雄激素不敏感综合征中,低水平的循环雌激素导致很小的负反馈,并且高水平的雄激素未引起抑制促性腺激素的反馈,因为下丘脑和垂体前叶缺乏有功能的雄激素受体。然而,支持细胞分泌大量抑制素B,抑制素B选择性抑制促性腺细胞分泌FSH。鉴于此患者的FSH水平被抑制,她可能存在抑制素B分泌过多(可能来自肿瘤)。也许在盆腔检查中发现的左侧饱满代表了睾丸肿瘤。一般,与完全型雄激素不敏感综合征相关的性腺肿瘤是生殖细胞肿瘤。磁共振成像(MRI)将有助于确认睾丸的存在并评估该患者的相关肿瘤。
几日后,发现抗苗勒管激素水平显著升高(579 ng/mL;参考范围,0.9~9.5ng/mL),染色体分析结果显示46,XY核型。这些结果符合完全型雄激素不敏感综合征的诊断。其他实验室检查提示:总睾酮水平显著升高(877 ng/dL;女性参考范围,<50 ng/dL),硫酸脱氢表雄酮(692 μg/dL;参考范围,31~228 μg/dL)、抑制素B(496 pg/mL;参考范围,在卵泡期的绝经前女性中<139 pg/mL,在黄体期的绝经前女性中<92 pg/mL,在绝经后女性中<10 pg/mL)也升高。
临床诊断完全型雄激素不敏感综合征,伴有支持细胞腺瘤或另一种抑制素B分泌过多的肿瘤。
影像学检查结果盆腔MRI检查(图2)T2加权像(图A)显示阴道长度正常(箭头)。子宫和宫颈缺如。轴向T2加权像(图B)显示盆腔前部的性腺(箭形),以及性腺周围的多个囊肿(箭头)。未见明确的滤泡。给予造影剂后获得的轴向T1加权脂肪饱和图像(图C)显示两个性腺对称,均匀增强(箭形)。
完全型雄激素不敏感综合征最常在儿童期诊断(在腹股沟疝修补时发现睾丸),或在青春期诊断(患者因原发性闭经就诊)。在完全型雄激素不敏感综合征患者中,约50%患有腹股沟疝,在腹股沟疝女性患者中,1%~2%患有完全型雄激素不敏感综合征。在儿童期接受腹股沟疝修补术的女性患者通常也会接受常规阴道镜检查,以确认宫颈的存在,或通过疝囊进行诊断性腹腔镜检查,以排除腹腔内睾丸的存在。此例特别有趣,因为患者已经到了成年期而没有做出具体的诊断。在腹腔内有睾丸的成人中,睾丸癌(通常为精原细胞瘤或性腺母细胞瘤)风险为1%~2%。相比之下,一般人群中睾丸癌的发病率为5.7/100,000。
由于这名成年患者有隐匿性或未来发生癌症的风险,我们建议手术切除腹腔内性腺。患者接受了无并发症的双侧腹腔镜睾丸切除术。将睾丸切除标本送去进行病理检查。手术后,开始使用含雌激素的激素替代疗法。因为没有子宫,所以不需要孕激素。
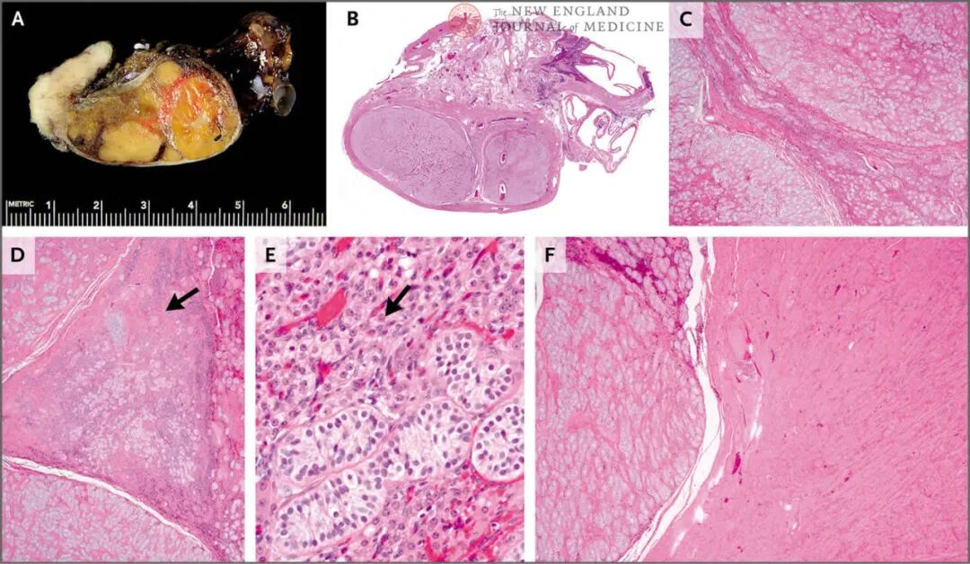
病理讨论睾丸切片显示,在柔软、深褐色的实质内有多个不同大小的棕褐色结节。在显微镜检查中,最显著的特征是存在多个错构瘤,这些错构瘤由未成熟的支持细胞排列的小的细长的直细精管组成,偶尔混有精原细胞。直细精管被成群的睾丸间质细胞和不同程度玻璃样化的基质分隔。睾丸间质细胞有时形成小的增生性聚集体,而卵巢型基质局灶性地位于睾丸实质内。附件囊肿与原始中肾管残留物相邻,上面衬有局灶性带有纤毛的简单立方至柱状上皮。在睾丸旁区域内,存在明显的平滑肌增生。
在完全型雄激素不敏感综合征患者中,睾丸位置异常,通常是腹部。睾丸组成部分在青春期之前、期间和之后经历一系列形态变化。最引人注目的是在生命的第一个10年后在睾丸实质内出现多个双侧无包膜的支持细胞错构瘤。这种错构瘤通常由与睾丸间质细胞混合的支持细胞小管组成(在该患者中可见),但在极少数情况下,错构瘤可主要或仅由卵巢型基质组成。
图3.睾丸切除标本
在雄激素不敏感综合征患者中,可能出现性索间质瘤;这些是最常见的支持细胞腺瘤,可以根据缺乏或没有睾丸间质细胞与错构瘤鉴别。在极少数患者中,可能会出现类似于带有环状小管的性索肿瘤的一种肿瘤。最令人担忧的是发生恶性生殖细胞肿瘤的可能性,最常见的是精原细胞瘤。虽然雄激素不敏感综合征患者发生精原细胞瘤的风险低于其他性发育障碍患者,但风险随着时间的推移而增加。
不育治疗讨论和随访因为不育是一种涉及两个人的诊断,因此我们鼓励伴侣双方均签署信息披露表,这样医务人员可以将一方的医疗信息告知另一方,但是允许分享信息并不意味着所有内容都自动披露。在此例中,考虑到患者的染色体构成与其认定的性别不同这一情况可能给他们带来痛苦,因此决定在患者配偶不在场的情况下,将所有检查结果(包括核型)告知患者。我们向患者解释了在男性核型的背景下出现雌性表型的机制,即雄激素受体中的突变使其无功能。
根据美国生殖医学会指南,由于需要一名捐卵者和一名代理孕母进行第三方代孕,初次就诊时,患者和她的丈夫会见了一名社会工作者。披露核型时,同一社会工作者也在场,医师和社会工作者共同解决这种性发育障碍的社会心理问题和对患者婚姻的影响。
因为70%的雄激素不敏感综合征病例是遗传性的,我们还讨论了她的家人患病的可能性,特别是她的两个姐妹。
患者的即时反应是她不会向丈夫或家人透露她的诊断。然而,她最终推翻了这个决定并告诉他们。患者选择不进行检查以确定她的特定雄激素受体突变。她的姐妹尚未尝试怀孕,也没有立即建立家庭的计划,所以她们没有进行基因检测。患者和她的丈夫在一名捐卵者和一名代孕孕母的帮助下进行了代孕。
最终诊断完全型雄激素不敏感综合征。
参考文献
1. Coutifaris C, Kilcoyne A, Feldman AS,Sabatini ME, Oliva E. Case 29-2018: A 31-year-old woman with infertility. NEngl J Med 2018;379:1162-72.版权信息本文由嘉会医学研究和教育集团(J-Med)与《新英格兰医学杂志》(NEJM)联手打造的《NEJM医学前沿》翻译、编写或约稿。中译全文及所含图表等由NEJM集团独家授权。如需转载,请留言或联系nejmqianyan@nejmqianyan.cn。未经授权的翻译是侵权行为,版权方保留追究法律责任的权利。



网友评论
最新评论