结婚生子
是很多人的必经之路
但有不少人卡在了“生子”环节
苦苦求而不得
32岁的小美(化名)
求子7年
前5年在跟不孕做斗争
后两年卡在不育
原本打算放弃的她
却在一次偶然检查中发现
她的不孕不育问题竟出在脑子里
为此
她想把自己的故事讲给大家听
希望给像她一样渴望做妈妈而不得的女性朋友提个醒
不孕不育
试着多考虑其他原因
从小月经不规律
婚后不孕不育
小美今年32岁,是温州当地的一名小学教师,颜值气质佳,7年前研究生毕业,就跟谈了很久恋爱的男朋友组成了家庭。
“在谈恋爱的时候,我就跟当时还是男朋友的他说了我的月经非常不规律,可能到时候生孩子会有点困难,但我老公说没关系,大不了不要孩子。”原来小美从初三开始就不太来月经,初三忙着中考,她便没当回事。但随后的日子里,她的“大姨妈”依旧非常任性,经常连着好几个月出走,中医的诊断说是气血虚,需要吃中药补气血。
中药一吃两年多,“大姨妈”依旧不听话,小美妈妈便带着小美看西医,B超显示,小美的子宫比正常同龄人小,除此之外也没异样,当地医生建议用人工周期药物使小美的“大姨妈”每月拜访,但人工周期的激素药物一停,“大姨妈”就请假。
中西医都无法根治,小美“累”了,就随它去了,因为除了“大姨妈”不来,她的身体没有其他异样。
直到小美结婚一年有意备孕都无果,她意识到不应该抱着“大姨妈不规律说不定也能怀孕”的侥幸心理,再次走进了医院做起了人工周期,但一年又一年过去了,好消息却一直不来。
“我们花了5年时间备孕,夫妻俩该做的检查也做了,都没什么大问题,但就是怀不上。”小美的爱人看着一心想要宝宝的小美很是心疼,建议直接去做试管婴儿试试。
“双杠!”结婚的第六年,小美终于看到了出现双杠的验孕棒,这意味她通过试管技术怀孕了,结果在怀孕的第三周生化了,生化妊娠就是受精卵没有成功着床到子宫,以“血”的形式排出了体外。
又一次生化!第二次试管还是失败告终,生殖专家建议他们再缓缓,身体恢复好一点再试。
“我们不要孩子了好嘛?”小美的爱人看着妻子这几年为了要孩子吃了这么多苦头很心疼,他告诉小美,不要孩子他们也可以生活得很幸福,小美也决定放弃当妈妈了。
莫名耳鸣
却意外找到根源
放弃当妈妈后的小美突然觉得人生轻松多了,把更多的时间和精力扑在了自己的学生上,对事业更拼了。
然而,前不久小美却出现了左耳经常性耳鸣症状,特别是夜深人静时,仿佛自己的心跳声就在耳边,刚开始以为是工作太累导致的,但请假休息一天并未好转,小美便走进了医院。
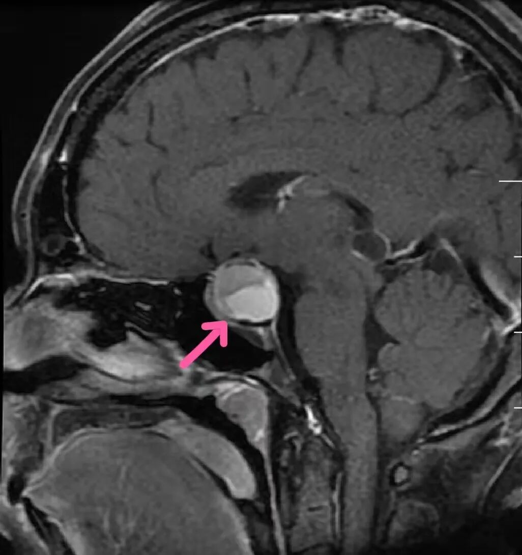
“MR提示垂体窝占位。”温州当地医院建议小美到上级医院做进一步检查诊断,为此小美找到了浙江大学医学院附属第一医院垂体瘤专家门诊,经过进一步检查后,潘新发副主任医师找到了小美不孕不育、月经不规则的原因——脑子里长了肿瘤,小美的耳朵出现耳鸣,很有可能正是压迫到了某些神经。
(小美的颅咽管瘤)
这个肿瘤正是颅咽管瘤,正常人颅脑底部存在两个重要结构——人体活动的调节中枢下丘脑和分泌各种激素的垂体,而颅咽管瘤就主要长在下丘脑-垂体区域,虽然这个肿瘤为良性,但我们的“脑袋”寸土寸金,在有限的空间里,原住民们紧挨着有序开展各项生产工作,根本就没有多余的空间给颅咽管瘤生存,它的出现必定是要侵犯其他“原住民”,小美的颅咽管瘤有2.3厘米大,压迫到了垂体,垂体是身体内最复杂最重要的内分泌腺,垂体一旦被侵犯压迫,小美的各项激素就可能混乱,这就是小美长年月经不规则的原因,激素水平不正常更无法正常生育。
潘新发副主任医师为她进行了经鼻神经内镜下颅咽管瘤切除术,手术非常成功,小美术后恢复良好,后续再进行相应的内分泌治疗就很有可能顺利当上妈妈。
不孕不育找不到原因要注意
这类人群要特别注意
神经外科主任詹仁雅主任医师表示,女性无明显诱因出现月经紊乱、停经、闭症状,并伴有视力明显下降、不孕不育的,要注意了,很有可能是颅咽管瘤在作祟,可以做头颅MR检查排除下。
颅咽管瘤是先天性的肿瘤,发病原因不明且复杂。最好发人群15岁以下儿童,其次是20-25岁,还有60-65岁两个年龄段。如果儿童出现身体偏胖、身高较矮、第二性征发育较缓,甚至不发育的情况应及时到正规医院检查就诊。
点击图片,可看大图
点击图片,可看大图点击图片,可看大图
更多温暖有趣医学事
请关注浙大一院视频号
点赞
点在看




网友评论
最新评论