- 本内容仅推荐医学专业人士观看 -
精液中除精子外,还有其他细胞成分,包括未成熟的生精细胞、白细胞、支持细胞及上皮细胞等。精液中所有有形成分的检出,都可以作为考证睾丸生殖功能状况和病理性损伤的有效指标。在充分发挥自动化检验技术优势的同时,显微镜下细胞形态学分析不应忽视。细胞形态学的改变是发现问题的基础,是病因学的先导。看到什么?考虑什么?建议什么?这些问题都是精液细胞学所要分析的内容。精液细胞学检查丰富了男性不育的检测手段,为男性不育的诊断拓宽了视野,为治疗启迪了新的思路。1
异常形态精子与病因的关系
精子形态在男性不育的诊断和治疗中发挥着重要作用,较精子浓度和精子活力更能在受孕过程中起到预测作用。在行标准化评估的同时,其形态学改变与病因的关系应给予更多关注。异常形态精子又称为畸形精子或潜在受精能力较差的精子,畸形精子包括特异性畸形和非特异性畸形,非特异性畸形表现为多种不同类型畸形的随机组合,病因众多。特异性畸形主要表现为同一类型畸形比例增高,应高度怀疑遗传因素影响或有害因素的特异性损伤。比如精液中出现高比例的锥形头精子时,则要考虑高温因素的影响。如果精子表现为尾部多发形态异常(短尾、无尾、卷尾、尾部不规则)、大头多尾精子症、圆头精子症及无头精子症时,建议进行遗传学筛查。虽然遗传学诊断不能带来用药及基因治疗上的受益,但对明确不育症的病因、判断胚胎发育及预测子代遗传风险有着重要意义,而且还可以减少其他可能无效的尝试性治疗,帮助患者减少治疗的时间和财力投入。然而,多数基因变异发生率低,且有很多变异致病性尚不清楚,需不断积累相关诊断和临床数据,以进一步提高基因检测临床使用价值。2
生精细胞异常脱落与睾丸生殖功能
生精细胞在健康人精液中按数量、比例有序排出、常态脱落,如果生精细胞脱落的数量、比例及形态出现异常,将有可能引起精液质量改变,导致不育。生精细胞的异常脱落是睾丸生精功能障碍的直接反应和受损表现,而睾丸生精功能受损必然有一个过程,由于受损程度、受损时间及致受损的因素不同,其生精细胞发生病理性改变及脱落状况也不尽相同。
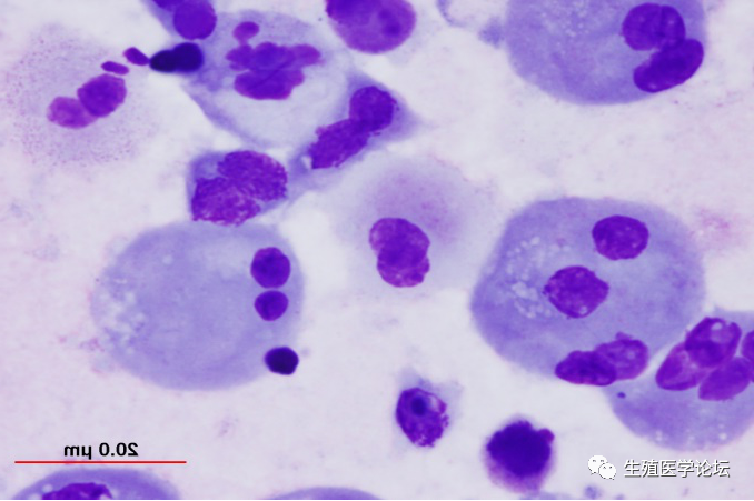
根据生精细胞脱落的数量异常、比例异常及形态异常,可作为衡量睾丸生殖功能的有效指标。生精细胞大量脱落,初级精母细胞阶段
发育阻滞,凋亡显著
精液中没有精子并不代表没有生精细胞,检出生精细胞说明输精管道是通畅的,病因可能在睾丸。如果没有精子,也没有生精细胞,则要根据睾丸体积、性激素、精浆生化等指标判断无精子症的类型及梗阻部位的确定。
如果生精细胞在某个阶段出现堆积、比例增高,可大致判断生精阻滞的阶段,其中初级精母细胞阶段最为常见,精子细胞阶段次之,精原细胞阶段少见。生精细胞不仅可以表现为数量和比例异常,还可以表现为形态异常,其形态特征主要以凋亡和胀亡为主,凋亡主要表现为细胞核固缩、边聚、突出、凋亡小体等,胀亡表现为细胞核膨胀、均质化、胞膜崩解等。细胞凋亡和胀亡代表两种不同的细胞死亡方式。根据生精细胞的异常脱落,对探索不育症的病因及发生机制有着重要价值,并可作为疗效观察和判断预后的重要指标。精子细胞阶段分化不良,多核、凋亡
3
精液中其他有形成分的临床意义
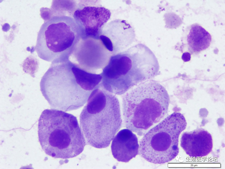
精液中其他有形成分包括支持细胞、白细胞、上皮细胞、结晶及病原微生物等,所有有形成分的检出都有其临床意义。支持细胞是唯一与生精细胞接触的细胞,支持细胞具有支持、营养、释放、分泌、吞噬等多种功能,为生精细胞的分化和发育成熟提供了一个特殊的微环境,为精子的发育提供了必要的环境基础。在健康精液中支持细胞无或极少脱落,在非梗阻性无精子症较为常见,如精液中仅检出支持细胞,未见生精细胞,考虑为支持细胞综合症的可能。精液中的中性粒细胞和单核/巨噬细胞
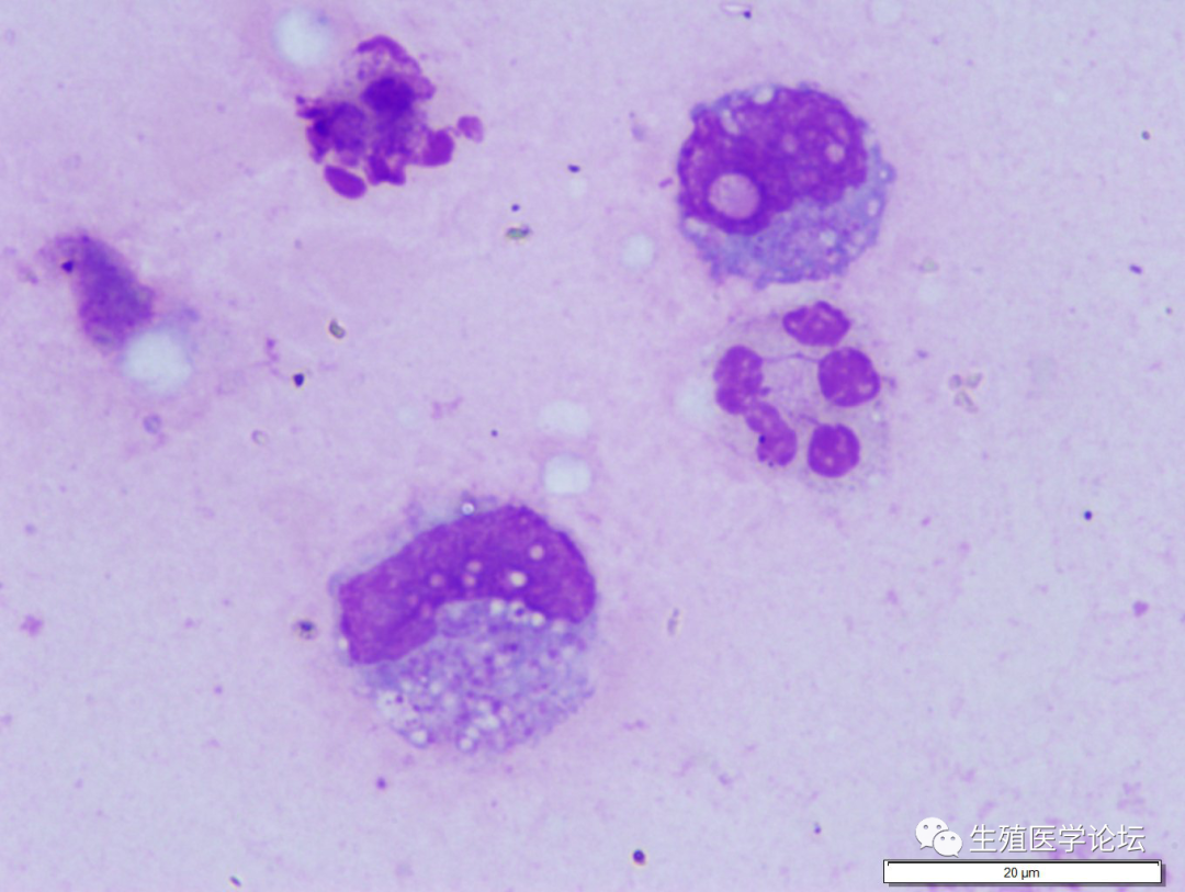
精液中出现前列腺上皮、精囊腺上皮及附睾上皮细胞则可提示附性腺的功能损伤;检出线索细胞考虑来自包皮垢或体外射精,建议双方治疗;生精细胞内包涵体的检出考虑病毒感染的可能,应给予重视;精液中大量残渣与支持细胞的吞噬功能下降有关,不应忽视。精液中的线索细胞
生精细胞内的包涵体
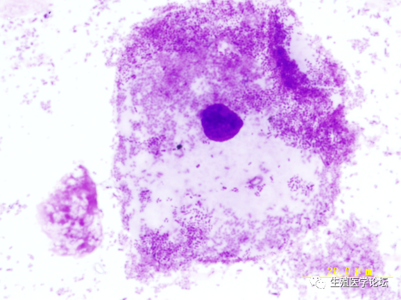
精液中的胆红素结晶
4
精液细胞学与睾丸活检
睾丸活检是无精子症患者诊断和治疗的重要手段,通过病理组织学观察可直接评价睾丸的生精功能和生精障碍程度。睾丸活检不仅可以对睾丸的间质细胞、生精小管及界膜的状态进行观察,还会对生精小管内生精细胞的排列、数量、比例进行评价。但睾丸活检也有其局限性,存在创伤。单次的睾丸活检可能难以全面、完整反映睾丸的生精功能,同时多点或多次的手术取材反而会加重对睾丸功能的损伤。
精液细胞学属于无创检查,能够更全面、准确地了解睾丸功能, 提高了对睾丸生精功能评估的准确性。两者检查各有利弊,应相互补充,但对于睾丸生殖功能的评估,首先应遵循从无创—微创—有创的原则进行。专家精品课
点击查看课程详情
戳“分享”,转发给更多同行看吧~




网友评论
最新评论